永州牙博士口腔医院牙齿种植价格解析,不同价位区别在哪里?
说到牙齿种植,很多人第一反应就是"贵"。但你知道吗?同样是种植牙,价格从几千到上万元不等,这里面到底有什么门道?永州牙博士口腔医院作为当地知名机构,其种植牙服务为何能获得众多患者信赖?不同价位的种植体在材料、技术、使用寿命上究竟存在怎样的差异?

种植牙价格的差异主要源于材料品质、医生技术和后续服务的不同。基础款种植牙多采用韩国或国产系统,适合预算有限的患者;而中高端种植体则多来自瑞士、瑞典等欧洲品牌,在生物相容性和长期稳定性方面表现更出色。永州牙博士口腔医院提供的种植服务就涵盖了多个价位段,能够满足不同患者的个性化需求。

种植牙价格构成要素
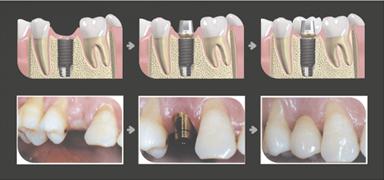
先来看看影响种植牙价格的几个关键因素。种植系统品牌是首要考量——欧美品牌在研发投入和临床数据方面更为成熟,价格自然较高;亚洲品牌则以性价比著称。医生技术水平同样关键,经验丰富的专家操作成功率更高,收费也会相应提升。患者的牙槽骨条件、是否需要植骨等附加项目也会影响较终费用。

来看看永州地区种植牙大致的价格区间:
| 项目名 | 低价格 | 高价格 | 参考均价 |
|---|---|---|---|
| 牙齿种植 | 7331元 | 19781元 | 13556元 |
不同价位种植体的特点对比
万元以下的种植体多采用韩系品牌,如登腾、奥齿泰等。这些系统经过多年市场检验,性价比相当不错。虽然在某些精细设计上不如高端品牌,但对于大多数患者来说已经完全够用。永州牙博士口腔医院院长陈东波就经常为患者推荐这类性价比高的方案。
中档价位(1-1.5万元)的种植体开始引入一些欧洲品牌的入门系列,在表面处理和连接设计上更有优势。这个区间的选择往往在质量和价格之间找到了不错的平衡点。
高端种植体(1.5万元以上)则多为瑞士Straumann、瑞典Nobel等品牌。这些系统拥有的表面处理技术,与骨结合的速度更快,长期成功率也更高。特别适合对生活质量要求较高、希望一劳永逸解决缺牙问题的患者。
医生团队的技术优势
永州牙博士口腔医院的陈东波院长从事口腔临床工作十余年,不仅在种植技术方面造诣深厚,还特别注重患者的个性化需求。他主张根据每位患者的骨质条件、咬合关系和经济预算,量身定制较合适的种植方案。
好的种植医生不仅要有娴熟的操作技巧,更要具备的诊断能力。比如在手术前有效评估骨量是否充足、选择合适的植入位置和角度,这些细节都直接关系到种植牙的使用寿命和美观效果。
术后效果与长期维护
很多人以为种完牙就一劳永逸了,其实不然。种植牙虽然不会蛀牙,但仍然需要精心维护。定期复查、专业洁牙和日常清洁都必不可少。永州牙博士口腔医院通常会为患者提供详细的术后指导,帮助延长种植牙的使用寿命。
价格较高的种植体在长期稳定性方面往往表现更好,但这并不意味着低价种植体就不好。关键在于选择适合自己情况的方案,并配合良好的口腔维护习惯。毕竟,再好的种植牙也需要主人的精心呵护。
选择种植牙时不能单纯比较价格,更要综合考虑医院资质、医生经验和后续服务。永州牙博士口腔医院作为当地老牌机构,在这方面确实有着明显优势。建议有需要的患者先进行详细咨询,让专业医生评估后再做决定。
