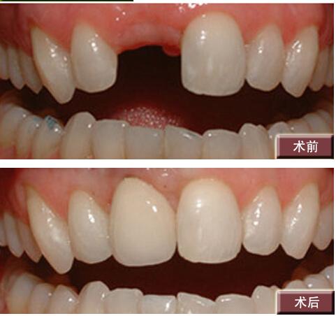
宜昌汪万年口腔种植牙使用寿命有多久?种植牙平均使用年限可达15-25年
宜昌汪万年口腔种植牙使用寿命有多久?在宜昌地区选择牙齿种植修复时,很多患者都会关心种植牙到底能使用多久。根据临床数据显示,种植体的平均使用寿命通常在15到25年之间,但这与多种因素密切相关。宜昌汪万年口腔作为当地成立多年的专业机构,其医师团队在种植牙领域积累了丰富经验,今天就带大家详细了解影响种植牙使用寿命的关键因素。

种植牙的平均使用年限是多少
从临床统计数据来看,种植牙的平均使用年限在15到25年之间。这个数据意味着大多数患者在完成种植手术后,可以享受较长时间的咀嚼功能和美观效果。值得注意的是,宜昌汪万年口腔的医师表示,如果患者能够保持良好的口腔卫生习惯并定期复查,部分种植体的使用寿命甚至可以超过30年。研究显示,现代种植牙技术的五年存活率已经达到98%以上,十年存活率也能维持在90%左右,这些都体现了种植修复的可靠性。

哪些因素会影响种植牙使用寿命
虽然种植牙技术已经相当成熟,但其具体使用年限还是会受到以下几个方面的影响:
医师技术水平
种植手术的成功与否与医生的专业水平直接相关。像宜昌汪万年口腔的方黎明主任医师,拥有丰富的临床经验,能够确保种植体与牙槽骨好结合,这是延长使用寿命的重要保障。选择经验丰富的专业医生进行手术,可以有效提高种植体的长期稳定性。
患者口腔状况
患者本身的口腔健康状况对种植牙寿命影响很大。如果存在严重的牙周疾病或牙龈问题,可能会导致种植体周围组织发炎,从而缩短使用时间。因此在种植前,必须进行的口腔检查,确保口腔环境健康。

日常维护保养
保持良好的口腔卫生习惯是延长种植牙使用年限的关键。每天认真刷牙、使用牙线清洁牙缝,定期进行专业洁牙,都能有效预防种植体周围炎的发生。宜昌汪万年口腔的医师建议患者每半年进行快速专业检查和维护。
牙槽骨质量
牙槽骨的密度和厚度直接影响种植体的稳定性。骨量充足的患者,种植体的使用寿命往往会更长。对于骨量不足的情况,医生可能会建议先进行骨移植手术,为种植体提供更好的支撑环境。
咀嚼习惯
正常的咀嚼力和合理的用力分布有助于保护种植体。避免用种植牙啃咬过硬的食物,如骨头、坚果壳等,可以减少对种植体的过度磨损,延长其使用时间。
避免意外损伤
虽然种植牙相当坚固,但仍需避免外力撞击。参加体育运动时佩戴防护牙套,日常生活中注意避免面部碰撞,都能有效保护种植体不受损伤。
如何延长种植牙使用时间
想要让种植牙使用更长时间,患者需要注意以下几个方面:
选择专业医疗机构
在宜昌地区,选择像汪万年口腔这样拥有资深医师团队的正规机构非常重要。他们的医师都具备丰富的临床经验,能够根据患者具体情况制定个性化治疗方案。
保持良好口腔卫生
除了日常刷牙外,还要使用牙线、冲牙器等工具清洁牙缝,定期进行专业洁牙,确保种植体周围组织的健康。
定期复查维护
按照医生建议的时间定期复查,让专业医师检查种植体的稳定性和周围组织状况,及时发现并处理潜在问题。
注意饮食选择
避免用种植牙啃咬过硬或过粘的食物,减少不必要的压力和磨损,保护种植体的完整性。
做好安全防护
在日常生活中注意保护口腔,避免意外碰撞和损伤,必要时佩戴防护牙套。
通过了解这些影响种植牙使用寿命的因素,并采取相应的保护和维护措施,患者完全可以期待种植牙带来长期稳定的使用效果。宜昌汪万年口腔的专业团队提醒,选择适合自己的种植方案并配合良好的维护习惯,是确保种植牙有效使用的关键。
