连云港江南口腔怎么样?海州区推荐:江南口腔专业种植牙服务获好评
在连云港海州区,提及专业口腔医疗机构,不少市民首先会想到"江南口腔"。
这家位于海州区解放东路蓝天华侨城的口腔专科机构,不仅以其先进的种植牙技术和经验丰富的医疗团队赢得患者信赖,更凭借个性化的口腔健康管理方案在海州区口腔医疗机构中名列前茅。

那么,连云港江南口腔究竟有哪些特色和优势?让我们一起来了解。
专业医疗团队,技术精湛
连云港江南口腔拥有一支由资深医师组成的专业团队。
其中,江鹏程医师作为江苏省牙科美容主诊医师,毕业于南京医科大学,并进修于南京医科大学附属口腔医院种植科,在牙齿种植领域具有丰富临床经验。

张英医师同样毕业于南京医科大学,专注于牙齿种植与口腔整形,为患者提供专业可靠的治疗方案。
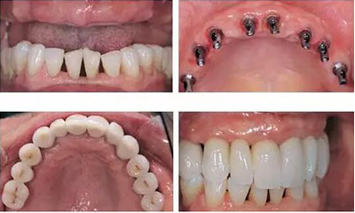
医院在复杂牙种植、即刻种植和美学修复等方面具有显著技术优势,能够满足不同患者的个性化需求。
先进诊疗设备,有效高效
连云港江南口腔配备了国际先进的口腔诊疗设备。
医院引进了数字化口腔CBCT、3D口腔扫描仪和计算机辅助设计/制造系统等高科技设备,确保诊疗过程的有效性和安全性。
数字化种植导板技术的应用,使种植牙手术更加有效,大大缩短了治疗时间并提高了成功率。
同时,医院采用的微痛治疗系统和显微根管治疗设备,有效减轻了患者在治疗过程中的不适感。
个性化服务,注重体验
连云港江南口腔始终坚持"以患者为中心"的服务理念。
每位就诊患者都能享受到一对一的专业咨询服务,医生会根据患者的口腔状况、个人需求和经济预算,制定较适合的治疗方案。
医院特别重视治疗过程中的医患沟通,确保患者充分了解治疗流程和预期效果。
值得一提的是,江南口腔实行"透明收费"制度,所有治疗项目均明码标价,让患者消费得明明白白。
患者口碑良好,性价比突出
连云港江南口腔凭借专业的医疗技术和优质的服务赢得了众多患者的承认。
医院提供的各项口腔治疗服务价格合理透明:
| 项目名称 | 低价格(元) | 高价格(元) | 参考均价(元) |
|---|---|---|---|
| 牙齿种植 | 7421 | 20441 | 13931 |
| 纯钛烤瓷牙 | 6630 | 19503 | 13066 |
| 超声波洗牙 | 7265 | 19770 | 13517 |
患者王先生分享了他的治疗体验:"在江南口腔做了种植牙手术,整个过程非常顺利。医生技术娴熟,护士服务周到,术后恢复也很好。价格方面也比较合理,比预期的要实惠。"

总的来说,连云港江南口腔凭借其专业的医疗团队、先进的诊疗设备、个性化的服务理念以及良好的患者口碑,已成为海州区口腔医疗的优选机构。
无论是常规口腔检查、牙齿种植还是复杂口腔修复,患者都能在这里获得满意的治疗体验。
如果您正在寻找一家专业可靠的口腔医疗机构,连云港江南口腔值得您的考虑。
